Información general | 18:11
Alerta sanitaria
Confirmaron el primer caso de sarampión del año y activan protocolos en Azul y Tigre
El contagio fue detectado en una persona de 29 años que reside en la Ciudad de Buenos Aires y que, antes del diagnóstico, participó de reuniones sociales en ambos distritos tras regresar del exterior.
El Instituto Malbrán confirmó la detección del primer caso positivo de sarampión del año en el país. El paciente es una persona de 29 años, residente en la Ciudad de Buenos Aires, que transitó por los municipios de Azul y Tigre, lo que encendió las alertas sanitarias en esas jurisdicciones.
La confirmación fue realizada por el Sistema Nacional de Vigilancia de la Salud, luego de que el paciente iniciara síntomas el 9 de febrero y realizara una consulta médica al día siguiente. Según se informó, días antes había viajado a Filipinas, por lo que se presume que el contagio ocurrió durante el vuelo. El riesgo sanitario se incrementó porque, a su regreso y antes del diagnóstico, participó de encuentros sociales.
Entre esas actividades se encuentran un casamiento en la ciudad de Azul y reuniones con familiares y amigos en General Pacheco, partido de Tigre. Actualmente, la persona se encuentra en aislamiento domiciliario junto a su núcleo conviviente.
Ante este escenario, las autoridades sanitarias desplegaron operativos de prevención y control. El ministro de Salud bonaerense, Nicolás Kreplak, señaló que “equipos de epidemiología, seguimiento y vigilancia ya se encuentran realizando la investigación de contactos, bloque y control de vacunación”, y remarcó la importancia de contar con los esquemas completos de inmunización.
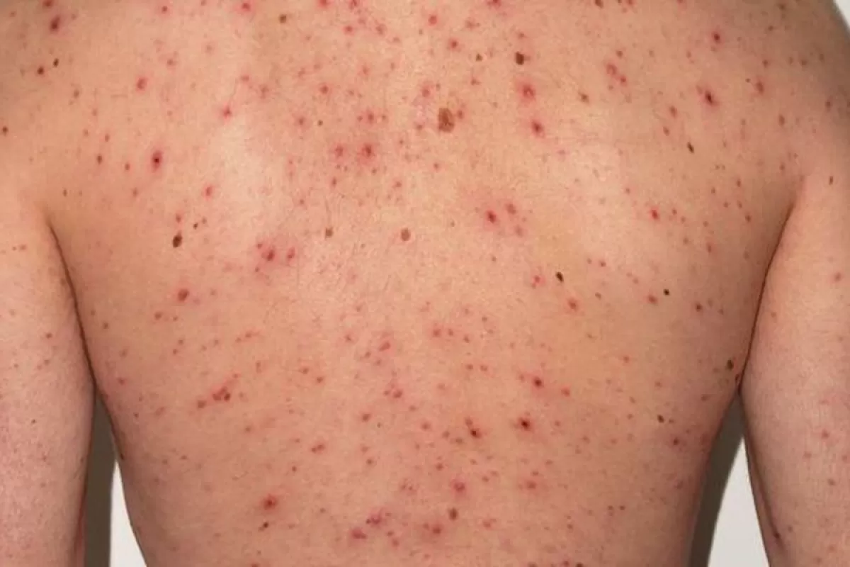
Desde la Municipalidad de Azul solicitaron a la población que, ante la aparición de fiebre, manchas en la piel, catarro, tos o congestión nasal y ocular, se consulte de inmediato al médico o a la guardia, utilizando barbijo. Además, recordaron que los grupos de mayor riesgo son los menores de 1 año sin esquema de vacunación, las personas gestantes y quienes presentan inmunocompromiso.
El sarampión es una enfermedad viral altamente contagiosa que puede afectar a personas de todas las edades. La vacunación es la única herramienta efectiva para prevenir contagios y complicaciones. El virus se transmite a través de gotas expulsadas por la nariz, la boca o la garganta de una persona infectada, y suele manifestarse con fiebre alta, erupciones cutáneas, secreción nasal, conjuntivitis y tos.
Ante síntomas compatibles, se recomienda consultar de forma inmediata, cumplir con el aislamiento indicado y reforzar la vigilancia epidemiológica para garantizar el seguimiento de los contactos estrechos.
